
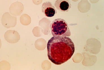
نورموبلاست پلی کروماتوفیل (۸-۱۲) میکرون
نورموبلاست پلی کروماتوفیل (۸-۱۲) میکرون
نورموبلاست پلی کروماتوفیل (۸-۱۲) میکرون: هسته کوچکتر از نوع بازوفیل و تمایل به کناری شدن دارد. هسته دارای غشاء ضخیم و رشتههای کروماتین متراکم است و بهصورت توده متراکم و به شکل شعاع چرخ در برخی مناطق دیده میشود.