بایت سل

بایت سل

بایت سل

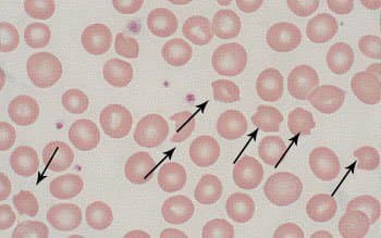
بایت سل: یک شکل نامنظم از اریتروسیت‌ها که در برخی از موارد آنمی همولیتیک مرتبط با شیمی درمانی دیده می‌شود. در این سلول‌ها یک یا دو قسمت نیم دایره‌ای شکل از حاشیه سلول برداشته شده است و هنگامیکه دارو قطع می‌شود این سلول‌ها هم ناپدید می‌شوند.